World

1-year-old’s unborn twin found inside her brain. Here’s what neurologists did next

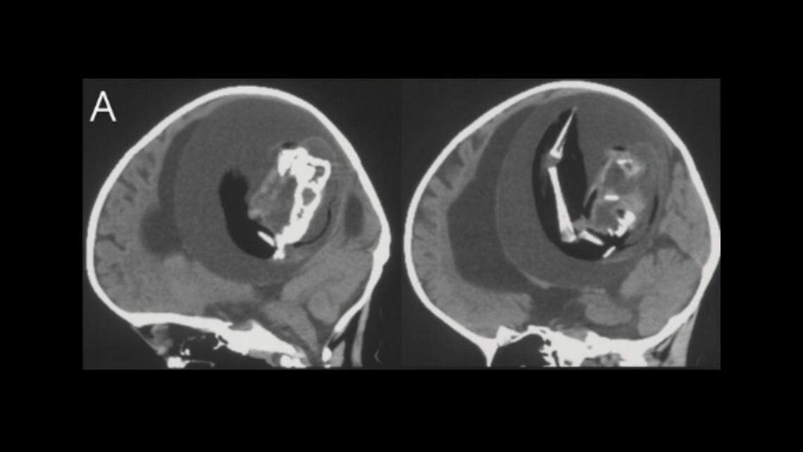
Inside the 1-year-old’s brain, doctors could see a spine and other bone structures.
Inside the 1-year-old’s brain, doctors could see a spine and other bone structures. Neurology

A 1-year-old girl in China was having difficulty with her motor functions. Her head was enlarged, and she wasn’t developing at the rate expected for a child her age.

Doctors decided to take a closer look, and when they took an X-ray of her skull, they saw bones in a sac inside her brain.

The case study, published in the scientific journal Neurology in December, said the phenomenon was an intraventricular fetus-in-fetu.

Fetus-in-fetu, sometimes called a parasitic twin, occurs when twins become conjoined in utero, but only one continues to develop. The undeveloped twin is often absorbed into the body of the developing twin.

But absorption into the brain is extremely rare.

Doctors decided the parasitic twin needed to be removed for the health of the 1-year-old.

What they removed was a fetus, about 10 centimeters long, with the beginning formations of arms and hands. The fetus had a spine, but remained extremely undeveloped. The doctors called it a “fetiform,” a type of growth that resembles a fetus.

When they ran DNA tests on the growth, they confirmed it was the twin of the living girl that had been absorbed during a developmental process called neural plate folding, a step necessary for the structure of the brain and spinal cord. This would explain how the parasitic fetus ended up inside its sister’s skull.

The parasitic twin was around 10 centimeters long and had arm and hand structures, the doctors said.
The parasitic twin was around 10 centimeters long and had arm and hand structures, the doctors said. Neurology

It might sound like something out of a horror movie, like the 2021 film “Malignant,” where a parasitic twin controls the living twin from inside her head, making her kill on his command.

But, it’s far from science fiction, and it has happened before.

A 1982 case report outlined a 6-week-old that had a similarly enlarged head. When they opened the child’s skull, they found a 14-centimeter-long fetus inside with limbs, a torso, a head and other recognizable features. The parasitic fetus was removed, and the living twin was able to recover.

The doctors in the case of the 1-year-old girl did not share how she is doing now.

Read Next
Read Next
Read Next
Read Next

This story was originally published March 8, 2023 at 12:54 PM with the headline "1-year-old’s unborn twin found inside her brain. Here’s what neurologists did next."

Irene Wright
McClatchy DC
Irene Wright is a McClatchy Real-Time reporter. She earned a B.A. in ecology and an M.A. in health and medical journalism from the University of Georgia and is now based in Atlanta. Irene previously worked as a business reporter at The Dallas Morning News.
Get unlimited digital access
#ReadLocal

Try 1 month for $1

CLAIM OFFER