National

Man pinches nose to stop sneeze and rips his windpipe open. It’s a first, doctors say

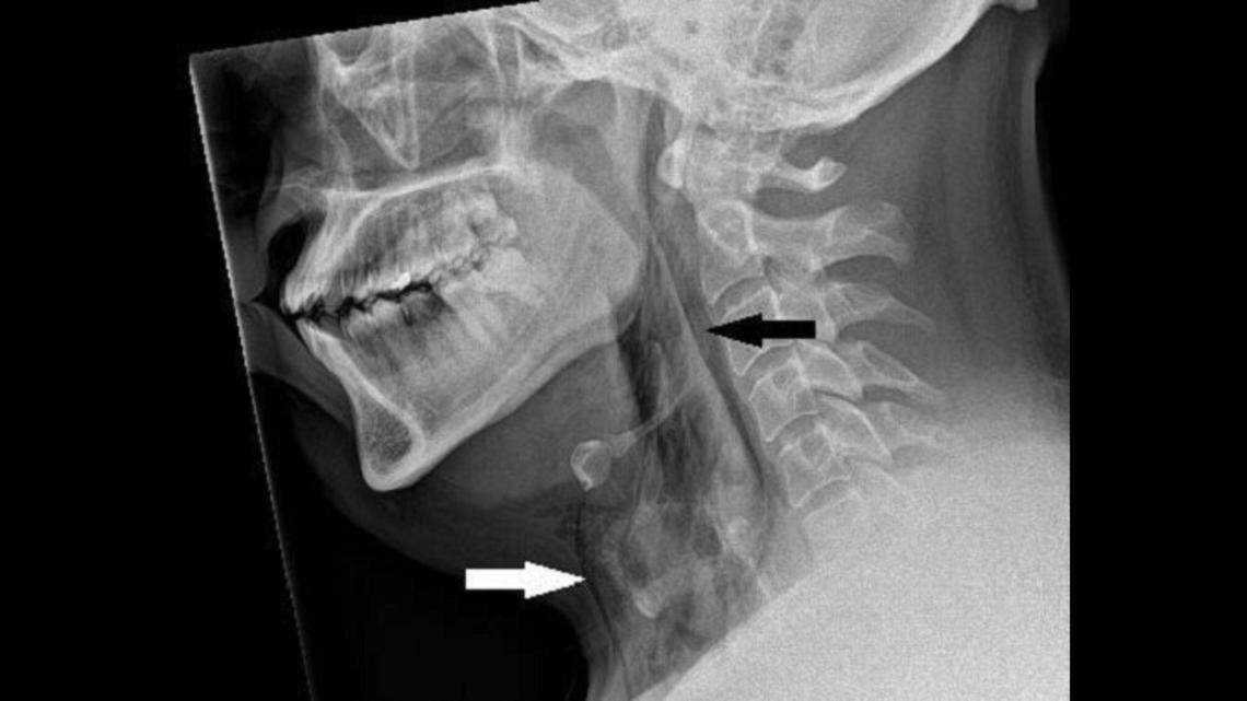
The stifled sneeze tore through the lining of the man’s trachea, doctor’s said, as seen on X-ray marked by the black arrow.
The stifled sneeze tore through the lining of the man’s trachea, doctor’s said, as seen on X-ray marked by the black arrow. BMJ Case Reports

A man suffered a first-of-its kind injury when he tried to stifle a sneeze while driving by pinching his nose, doctors said.

The man, in his 30s, had a history of allergic rhinitis, or throat irritation from persistent allergies, and was in the driver’s seat when he felt the sneeze coming on, doctors said in a case report published Dec. 1 in BMJ Case Reports.

Hoping to stop it, he pinched his nose and closed his mouth before the sneeze hit, the doctors said.

Instead, the plug transformed his mouth into a pressurized wind tunnel and sent air shooting down his windpipe, according to the case report.

A regular sneeze creates a push of pressure at about 1 to 2 kPa, or kilopascals, a unit of pressure, the case report said.

But when the mouth and nose are plugged and the pressure has nowhere to go, it increases by 20 times, the doctors said.

The air shot into his trachea, or windpipe, and ripped through the soft tissue, according to the case report, creating a tear in the lining.

The man drove to an emergency room with a swollen neck and reduced movement, and his neck made a small crackling sound when pressed as the air from his throat entered his neck tissue, according to the report.

Miraculously, his breathing, swallowing and talking seemed unaffected and his oxygen levels were normal.

The man was treated for his pain, but no surgery was required on the millimeters wide hole in his windpipe, the doctors said, and they allowed it to heal on its own.

Tracheal perforations, as the tear is known, have been reported before, the doctors said, but this is the first time in recorded medical history the tear has been caused by the pressure from a sneeze.

The injury itself is incredibly rare, according to previous reports. It’s typically caused by trauma and very serious when it occurs.

“Everyone should be advised not to stifle sneezes by pinching the nose while keeping the mouth closed as it can result in tracheal perforation, as reported here,” the doctors said.

Read Next
Read Next
Read Next
Read Next

This story was originally published December 12, 2023 at 1:27 PM with the headline "Man pinches nose to stop sneeze and rips his windpipe open. It’s a first, doctors say."

Irene Wright
McClatchy DC
Irene Wright is a McClatchy Real-Time reporter. She earned a B.A. in ecology and an M.A. in health and medical journalism from the University of Georgia and is now based in Atlanta. Irene previously worked as a business reporter at The Dallas Morning News.
Get unlimited digital access
#ReadLocal

Try 1 month for $1

CLAIM OFFER